Skip to content
  • Click to call / text
  • Payment Calculator
  • Patient Forms
Free Consult
  • Our Practice
    • Who We Are
    • What Sets Us Apart
    • Meet Our Doctors
    • Meet Our Team
    • Our Technology
    • Office Tours
    • Patient Reviews
    • Testimonials
  • Orthodontics
        • Clear Aligners
          • About Clear Aligners
          • Clear Aligners For Kids
          • Clear Aligners For Teens
          • Clear Aligners For Adults
          • Clear Aligners FAQ
        • Braces
          • Types of Braces
          • Braces For Kids
          • Braces For Teens
          • Braces For Adults
          • Braces FAQ
        • Other Treatments
          • Airway Orthodontics
          • Indirect Bonding
          • Surgical Orthodontics
          • Dentofacial Orthopedics
          • Common Appliances
          • Common Ortho Issues
          • Retainers
  • Patient Resources
    • Your First Visit
    • Virtual Consult
    • Patient Forms
    • Financial Info
    • Appliance Care
    • Emergency Care
    • Ortho FAQ
    • Patient Testimonials
    • Blog
  • Contact Us
    • Contact Info
    • Bossier City
    • Shreveport
    • Minden
    • Natchitoches
    • Many
    • Alexandria
Free Consult
Free Consult
New Patients
  • (318) 824-1953
Call
Text
Existing Patients
  • (318) 742-9274
Call
Text
  • Our Practice
    • Who We Are
    • What Sets Us Apart
    • Meet Our Doctors
    • Meet Our Team
    • Our Technology
    • Office Tours
    • Patient Reviews
    • Testimonials
  • Orthodontics
    • Clear Aligners
      • About Clear Aligners
      • Clear Aligners For Kids
      • Clear Aligners For Teens
      • Clear Aligners For Adults
      • Clear Aligners FAQ
    • Braces
      • Types of Braces
      • Braces For Kids
      • Braces For Teens
      • Braces For Adults
      • Braces FAQ
    • Other Treatments
      • Airway Orthodontics
      • Indirect Bonding
      • Surgical Orthodontics
      • Dentofacial Orthopedics
      • Common Appliances
      • Common Ortho Issues
      • Retainers
  • Patient Resources
    • Your First Visit
    • Virtual Consult
    • Patient Forms
    • Financial Info
    • Appliance Care
    • Emergency Care
    • Ortho FAQ
    • Patient Testimonials
    • Blog
  • Contact Us
    • Contact Info
    • Bossier City
    • Shreveport
    • Minden
    • Natchitoches
    • Many
    • Alexandria
  • Click To Call / Text
  • Payment Calculator
  • Patient Forms
Free Consult
  • Facebook
  • Instagram
  • Twitter
  • Youtube

Virtual Consult

Smile Confidently No filter needed.

It’s Virtually Possible

To Get Started

We offer online consultations to kick-start your treatment plan and help you begin receiving orthodontic care. If you’re ready to start your smile journey with a virtual consultation, let us know below!

HOW IT WORKS: First, you’ll start by telling us a little about yourself. Then, you’ll snap a few pictures of your teeth!

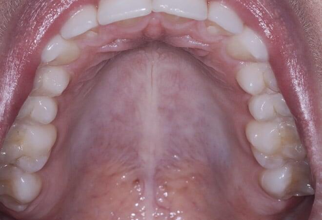
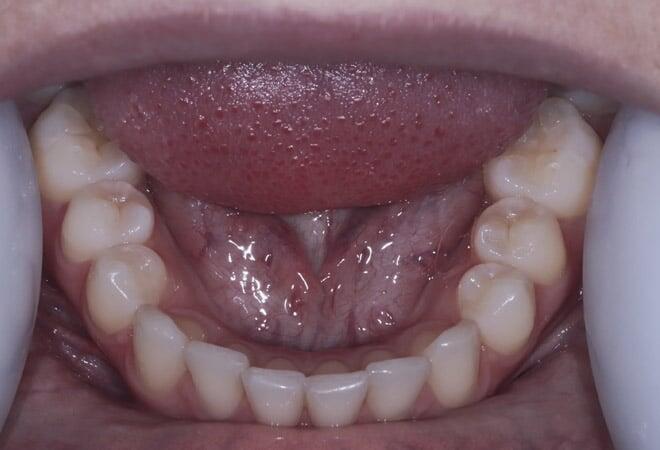
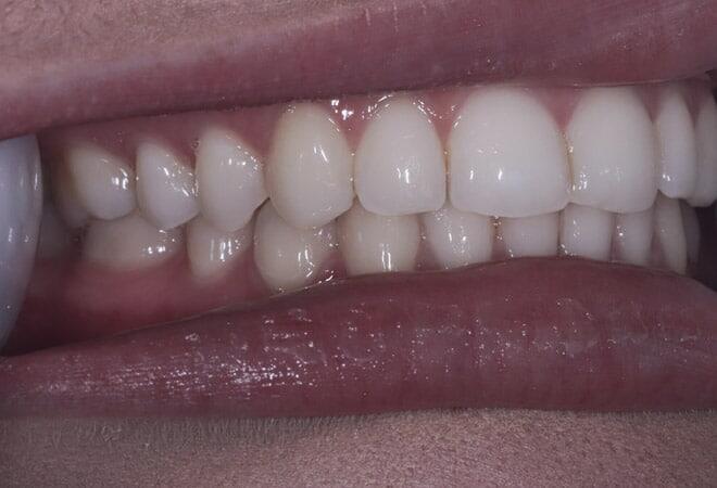
STEP 1

With your smartphone and someone to help you, replicate these 8 photos below. The better the pictures you send, the more we can see and discuss!

Need Help Taking Photos?

Try to make sure that the room is well lit for the best quality photos.

A good way to help retract your cheeks away from your teeth during the photos is for you to hold your cheeks with 2 spoons, while your friend or family member takes the photos for you.

STEP 2

Fill out the form! Our team will assess your smile and let you know if treatment is right for you.

Debug: Form type not supported


Smile with confidence

No Filter Needed.

request Free Consult

1,500+

5-Star Reviews

Don’t just take it from us; hear it from our amazing patients! Check out reviews from so many in our communities to get a feel for the quality of care we provide at Graf Orthodontics. 

Reviews
Trinity F.
Graf was very considerate of all my questions and needs. Mallory was amazing she made me feel understood and heard through out the whole consultation.
Hailee P.
Great experience from eval to starting treatment! Entire team was so sweet and professional! Super clean practice. Would highly recommend
Debbie L.
Employees are very sweet efficient & know how to treat their patients. Best orthodontist office ever!!!! Thanks for the Mothers Day flowers!!
April E.
Graf Orthodontics consistently delivers exceptional service while maintaining a high level of professionalism.
Holly H.
We love Graf! They’re super nice and it’s clean. My son has never been scared to go and we have always been in and out quickly. Today, with Mother’s Day approaching, they had a stand of flowers set up and let their patients make a bouquet to give to their mom. Sweet staff.
Christal S.
From the moment you walk in you are greeted with a smile, the staff are very friendly and make you feel like family. My wait was not long at all before being called to the back. Kudos to Ali who was my orthodontist assistant today. This is my first time ever to get braces and was excited to finally get the aligners on. Ali was thorough and I could tell that she was paying close attention to detail walking me through everything she was about to do. She made sure that I was good before checking out. I was even greeted by Dr. Chapman who took the time to come introduce himself. I want to personally thank all the staff of Graf Orthodontics for your kindness and excellent customer service ⭐️🦷⭐️🦷⭐️🦷
Response from the owner:Thank you for your wonderful feedback! We're delighted to hear that our team, especially Ali, made your first experience was enjoyable. Your satisfaction is our priority, and we appreciate your kind words about our staff!
Brooke Sims S.
The experience of my oldest child getting braces has been a good one. The staff is friendly and even take time with my smaller children. They either love what they do or are good fakers. 😆 We have just started this journey and will update as it goes on.
Response from the owner:Thank you for your wonderful feedback! We're delighted to hear that your experience has been positive so far. Our team is dedicated to providing a welcoming environment for all families. We look forward to supporting you on this journey!
April M.
(Alexandria location)

My daughter was so excited from her consult to her big day! When it finally came she was super nervous but the staff was amazing! Everyone was so friendly & down to earth. They put her at ease quickly. They went through all the do's & don’ts and what to expect and how to handle everything. I’m very happy with our decision to go with Graf. And I know my daughter is because she hasn’t stopped smiling since!
Response from the owner:Thank you for your fantastic review! It's wonderful to hear how our team helped your daughter feel at ease on her special day. We're thrilled she’s smiling and happy with her experience at Graf.
Brittany C.
Always the best experience at the Minden location! The ladies are so professional and kind.
Response from the owner:Thank you for your wonderful feedback! Our team is dedicated to providing exceptional service, and it's rewarding to hear that you had a positive experience at our Minden location. We appreciate your kind words!
Pernell J.
Great customer service and very friendly environment love how everyone is so welcoming and helpful
Response from the owner:Thank you, Pernell! We appreciate your kind words about our customer service. Our team is dedicated to providing the best experience for our patients. We look forward to seeing you again soon!
Michelle W.
Amazing orthodontist and staff. My daughter got hit in the mouth by a softball and the orthodontist came in on his day off to check on her. Thank you for taking such good care of my child
Response from the owner:Thank you for your wonderful feedback! We truly appreciate your recognition of our commitment to patient care. It's our pleasure to support families, especially during unexpected situations. Your daughter's well-being is our top priority!
Michelle W.
Amazing orthodontist and staff. My daughter got hit in the mouth with a softball and the shreveport orthodontist came in on his day off to check on her
Response from the owner:Thank you for your wonderful review! We're thrilled to hear about your positive experience with our orthodontist and staff, especially during such a concerning moment for your daughter. Your appreciation means a lot to us.
Misty C.
I absolutely love this dental office and the one in the natchitoches area. They are fast, nice and professional. My son doesn’t get nervous while they are doing the necessary work that is needed to be done. Highly recommend to anyone that needs braces.
Response from the owner:Thank you for your wonderful feedback, Misty! We're thrilled that both you and your son have had positive experiences with our team. Your recommendation means a lot to us, and we look forward to continuing to serve all our amazing patients!
Kristal L.
The staff here at the Shreveport location are very polite and accommodating. It's always very clean. They get you in and out in a reasonable time frame.My family and I love Graff Orthodontic.
Response from the owner:Thank you for your kind words, Kristal! We’re thrilled to hear that you and your family appreciate our team’s dedication to cleanliness and efficiency.
Marcus B.
Highly recommended this place. April was great with explaining every detail. The whole staff showed professionalism and were very nice throughout the whole process!
Response from the owner:Thank you for your generous feedback, Marcus! We're thrilled to hear that April and our team provided such a positive experience. Your recommendation means a lot to us!
Reviews

Convenient

Locations

With six locations in Northwest Louisiana, our team is excited to greet you with bright, smiley faces at every appointment!

Bossier City

NewLocation

  • 4375 Airline Dr.
    Bossier City, LA 71111
Shreveport
  • 6930 Fern Ave Ste 250,
    Shreveport, LA 71105
Minden
  • 116 Homer Rd,
    Minden, LA 71055
Natchitoches
  • 940 Keyser Ave E,
    Natchitoches, LA 71457
Many
  • 1610 San Antonio Ave,
    Many, LA 71449
Alexandria

NewLocation

  • 2260 S MacArthur Dr.
    Alexandria, LA 71301

Bossier City

Shreveport

Minden

Natchitoches

Many

Alexandria

Call / Text

New Patients

  • (318) 824-1953

Existing Patients

  • (318) 742-9274

Contact Hours

Monday 7:30am – 5:00pm
Tuesday 7:30am – 5:00pm
Wednesday 7:30am – 5:00pm
Thursday 7:30am – 5:00pm
Friday 8:00am – 12:00pm
Free Consult

Quick Links

  • Our Practice
  • Orthodontics
  • Patient Resources
  • Contact Us
  • Our Practice
  • Orthodontics
  • Patient Resources
  • Contact Us

Contact Us

  • Click to Call / Text
  • Click to Call / Text
  • Bossier City, LA
  • Shreveport, LA
  • Minden, LA
  • Natchitoches, LA
  • Many, LA
  • Alexandria, LA

Follow Us

© Copyright 2026 Graf Orthodontics | Sitemap | Privacy Policy | Notice of Privacy Practices | Accessibility Statement
Orthodontic Marketing & Web Design by HIP

virtual consult form, graf orthodontics natchitoches, graf orthodontics shreveport, graf orthodontics natchitoches la, virtual consult, graf orthodontics payment, smile virtual consult, graf orthodontics alexandria la, graf orthodontics, graf orthodontics shreveport la, your virtual consult, dr graf orthodontics, yourvirtualconsult, orthodontists offering virtual consultations us, orthodontist natchitoches, graf orthodontics financing options review, best orthodontic offices with virtual consultations and payment plans, orthodontists offering virtual consultations in the us

Experience the Convenience of Virtual Consults

With our virtual consultation option, getting started on your smile journey has never been easier. Simply fill out some information about yourself and snap a few pictures of your teeth using your smartphone. Our team will then review your information and photos to provide you with personalized treatment recommendations without the need for an in-person visit.

Whether you're located in Bossier City, Shreveport, Minden, Natchitoches, Many, or Alexandria, you can take advantage of our convenient virtual consult service to begin your orthodontic treatment from the comfort of your own home. Contact us today to learn more about how virtual consults can help you achieve the smile of your dreams.

Visit One of Our Six Convenient Locations

With six locations spread across Northwest Louisiana, Graf Orthodontics is committed to providing top-notch orthodontic care to patients of all ages. Whether you're in Bossier City, Shreveport, Minden, Natchitoches, Many, or Alexandria, our friendly team is ready to welcome you with a smile at every appointment.

Our convenient locations make it easy for you to access the quality orthodontic care you deserve. From traditional braces to clear aligners, we offer a variety of treatment options to suit your individual needs. Schedule a visit to one of our offices today and take the first step towards a healthy, confident smile.